当院について
診療について
…火曜日終日・日曜日午前はご予約のみの診療となります。
NEWS
2018.03.29
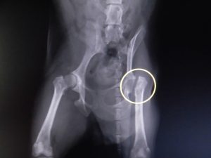
犬の大腿骨頭壊死症(レッグ・ペルテス)
2018.03.26
健康診断キャンペーンのお知らせ
2018.03.21
春の訪れ、院長の趣味
2018.03.20
平成30年度狂犬病予防接種
2018.03.16
犬の直腸腫瘍摘出手術
2018.03.04
新病院初日!
2018.03.03
進捗状況~新しいスタート!~
CATEGORY カテゴリ
ARCHIVE 過去の記事
2026
2025
2023
2021
2020
2019
2018
2017
2016
2015
2014
2013
TOP