NEWS
お知らせ・採用情報
夜の子宮蓄膿症手術
今回は、つい先日の夜に実施した「子宮蓄膿症」の手術について。
未避妊のわんちゃんが調子を悪くして来院された場合、私たち獣医師がまず頭に浮かんでしまうくらい、多く遭遇する病気なんです。
子宮蓄膿症は、細菌の感染による子宮内膜炎から、子宮内に膿が蓄積してしまう病気です。
重症例では、細菌がつくる外毒素というものが体中に悪影響を与え、腎不全、肝不全をはじめとする多臓器不全など合併症を引き起こしてしまう場合があります。
また、蓄積した膿により拡張した子宮が、破れてしまうことがあり、その場合腹腔内に膿が漏れ出して腹膜炎を生じ、危険な状態に陥ってしまう可能性が高くなります。
このように子宮蓄膿症は命を落とす可能性のある怖い病気ですので、診断がついた場合、なるべく早く手術する必要があります。
今回のわんちゃんは、2~3日前から食欲不振と元気消失がみられるということで来院されました。
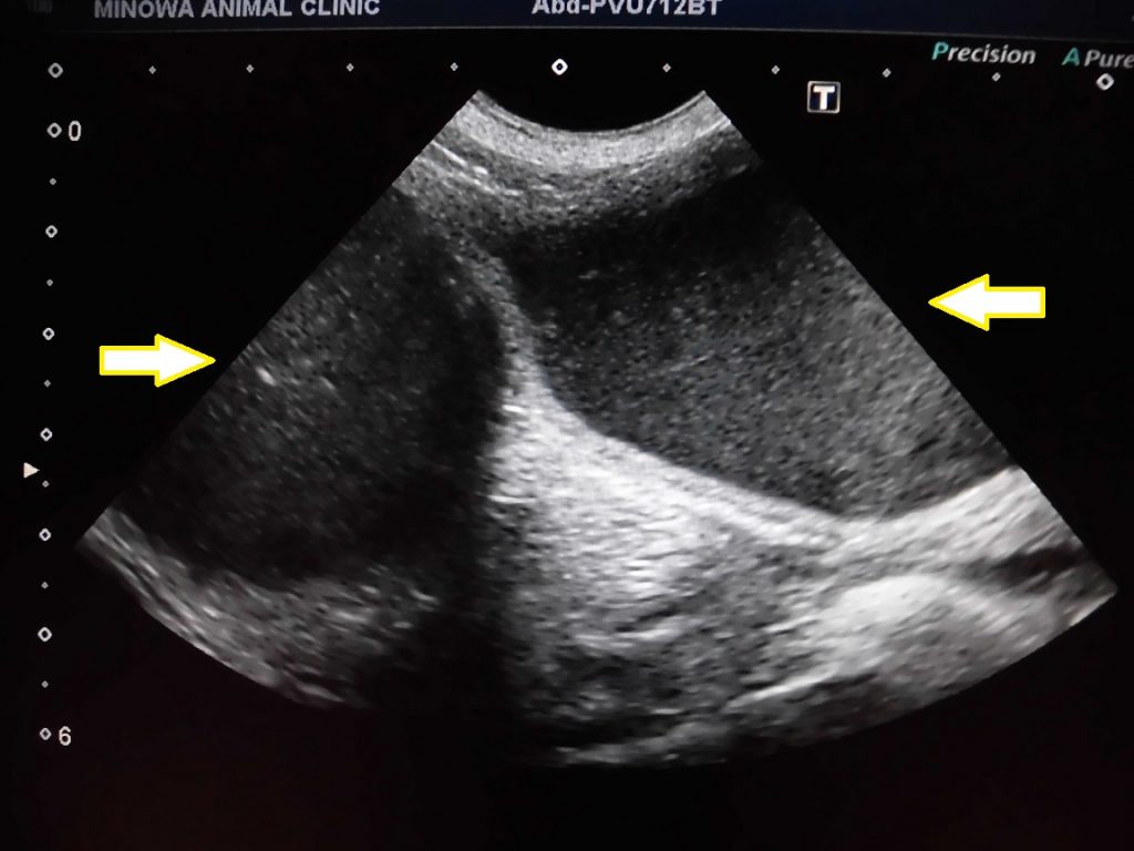
子宮蓄膿症は超音波検査を実施することで、拡張した子宮を確認することが可能です。
今回のわんちゃんも超音波検査で拡張した子宮と、その内部に蓄積した液体を確認することができました。
ということで、その日の夜間に手術を実施することになりました。
腹腔内から大きく拡張した子宮が出てきました。
そして、取り除いた子宮には、
大量の膿が溜まっていました。
この後、無事手術を終え、数日中には元気、食欲は元通りになってくれました。よかったですね(^^)
子宮蓄膿症は、治してあげられる病気ではありますが、予防してあげられる病気でもあります。未避妊のわんちゃんは避妊を考えてあげてくださいね。


