NEWS
お知らせ・採用情報
膀胱結石の摘出手術
こんにちは!
今日は先日実施した猫ちゃんの膀胱結石の摘出手術について。
今回の猫ちゃんは1か月くらいの間、血尿や頻尿、トイレに入っている時間が長くなった、などの膀胱炎症状に悩まされてきました。
超音波検査やレントゲン検査では膀胱内に数㎜の結石が多数確認されており、内科治療での改善はみられないとのことで外科手術を実施することになりました。
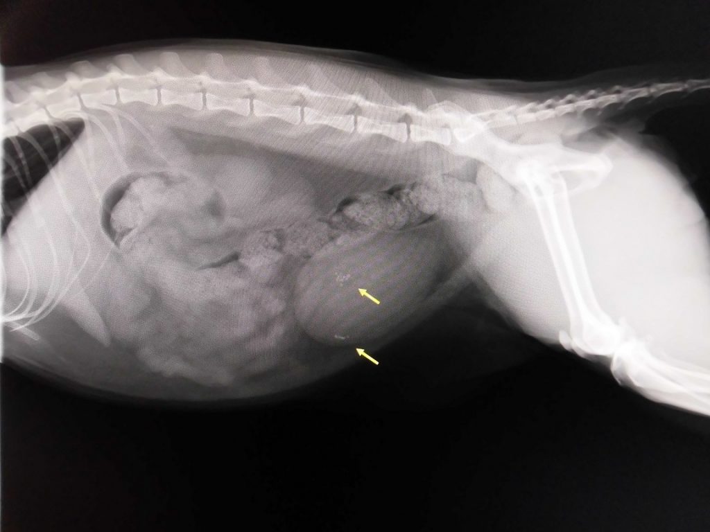
こちらがレントゲン画像ですが、膀胱内に多くの小さな結石が確認できます。
外科手術は膀胱切開を行い、膀胱内の結石を残さず取り除きます。
なんと20個以上の結石がとれました。
そしてこの結石の正体はシュウ酸カルシウムというものでした。
このシュウ酸カルシウムという結石は一度形成されてしまうと、療法食による食餌療法では溶解させることはできず、今回のような外科手術による摘出が必要になります。そしてその後は再発しないような食餌療法を行うことになります。
手術後、この猫ちゃんの膀胱炎症状はほぼ改善しました。これからは食餌療法で予防を頑張っていく予定です。
わんちゃん、ねこちゃんの気になるおしっこの症状は、早めに動物病院に相談してくださいね。


