当院について
診療について
…火曜日終日・日曜日午前はご予約のみの診療となります。
NEWS
2017.07.15
みのわ動物病院、移転のお知らせ!
2017.07.09
子猫を捨てていった方へ
2017.07.02
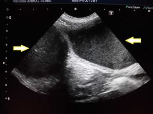
夜の子宮蓄膿症手術
CATEGORY カテゴリ
ARCHIVE 過去の記事
2026
2025
2023
2021
2020
2019
2018
2017
2016
2015
2014
2013
TOP